Le bon usage des bains de bouche
Articles similaires
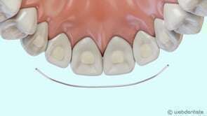
Contention de Hawley
Vidéos 3D
L'hygiène en orthodontie
Vidéos 3D
- À la une (4)
- Coûts et prise en charge (1)
- Incidents et urgences orthodontiques (1)
- Informations générales dentaires (38)
- L'orthodontie de l'adulte (4)
- La réussite d'un traitement (11)
- Les enfants & les adolescents (19)
- Orthodontie (93)
- Qu'est-ce que l'orthodontie ? (19)
- Questions fréquentes en orthodontie (6)